自己的膝蓋自己救》「軟骨能自然修復」的見證!
吳先生,七十五歲,居住於新竹縣,診斷:右膝為較嚴重的第三期退化性關節炎,左膝為第四期退化性關節炎。
手術日期:二○一○年十一月。
術式名稱:關節鏡軟骨再生促進手術(ACRFP)。
我服務於教育界喜愛排球、網球等運動,因未注意運動前暖身以及帶護膝套導致膝關節軟骨磨損發炎;當時僅感覺微微的刺痛沒有在意......(以下為吳先生親筆原稿)
一九九五年前某日中午在臺北火車站前我的左腳膝關節突然嚴重疼痛不能行走,從那時感覺到事態嚴重,就到處求診含中西醫及推拿針炙等,結果時好時壞,在這段期間經常到歐洲、日本、中國大陸旅遊,只覺得走路較別人慢,尤其是上下坡路非常辛苦。記得二○○四年暑假全家到日本硫球旅遊,在一景點下坡路段與旅遊團人員落單約三十公尺之遠,當時我那讀幼稚園五歲小孫子跑回來說爺爺我來牽您慢慢走,從那瞬間體會到我的膝關節確實使不上力了。因此停止國內外旅遊感到非常沮喪。
二○○四年以後我的左腳膝關節漸漸腫大,右腳亦有刺痛感覺,變成O型腳約有四位骨科醫生皆說需立即換人工關節,當時家人都不贊同而作罷,然而我的左膝關節越來越嚴重,腫到較右膝關節二倍大,使致完全依賴右腳來支撐,結果右膝關節也腫脹、僵硬、變形,走起路感到舉步維艱,尤其爬樓梯痛苦不堪,導致嚴重影響生活品質。
今年之某日在《中國時報》看到一則報導國內有針對退化性膝關節炎內視鏡手術之最先進成功的技術,如獲至寶的欣喜,隨即去電中國時報總社詢問,那家醫院有此高超之技術,當天與大林慈濟醫院關節中心連絡上並報名參加「膝關節健康促進方案」座談會,在座談會中聽到多位主講之有關預防醫學、免疫風濕、骨科觀點等說明後;接著是呂博士之「治療之希望─膝關節健康促進方案」是本次座談會中的核心議題,與會人員皆聚精會神聆聽呂博士精闢演講,說明膝關節退化之原因,並觀看患者膝關節開刀之案例說明,特別是利用內視鏡微創技術在膝關節切除關節內的異物、軟骨、骨刺、整平修補軟骨、剝離關節內側皺襞、解除關節內的發炎組織等高難度技術嘆為觀止。呂博士創新研發之剝離關節內側皺襞是診療退化性關節炎之關鍵所在,能切除膝關節內側皺襞,才是診治膝關節最成功之境界。呂博士並將此創新之治療技術發表在國際軟骨修復學年會。
當年雖未得到認同及重視,呂博士秉持著以病人為中心的理念。終於在二○○八年得到北歐骨科醫學發表之口頭報告,引發熱烈討論,並於二○○九年二月受邀參加IMUKA全球首度舉辦「單一腔室之早期退化性膝關節炎治療國際研討會」中發表其創新治療「膝關節內側皺襞切除」技術,而享譽全球,同時在五十餘位國際專家中,呂博士是唯一受邀之亞洲演講者確實難能可貴。
在研討會中午十二點結束時,將五年前在新竹某醫院照之膝關節X光片請教呂博士經初步研判雙膝關節為第三期退化性關節炎〈左膝關節較嚴重〉尚符合內視鏡開刀手術,聽到呂博士一番話,喜出望外隨即以電話跟家人報佳音,我雙膝得救了。
開刀前一天到醫院報到,隨即作開刀前之檢查,發覺醫療團隊對每一環節都非常嚴謹確認身份,如驗血、X光、心電圖、進開刀房、打點滴、投藥......等環環相扣,如此嚴謹遵守醫療作業流程令人佩服,同時患者可安心將生命託付給醫療團隊進行開刀診治。
雙膝關節內視鏡手術約一小時完成,手術非常成功,當天傍晚呂博士巡房時說可下床做適度的走動,並需配合復健動作,開刀第三天經呂博士檢視後退院,返家後遵照院方指示確實做好復健工作,其中彎膝蓋至胸前及壓膝蓋拉筋骨之動作尤其艱辛疼痛,每每有輕輕帶過之念頭,但是想到未開刀前雙膝關節腫脹、僵硬、行走蹣跚之情境,還有呂博士及其醫療隊對親切辛苦之付出時,再痛苦也得堅忍下去,看到雙膝一天天康復靈活有力,心情無比欣喜。
對呂博士及其醫療團隊細心親切、仁心仁術之大恩大德終身難忘,謹致崇高謝忱。
治療結果:
曾於去年十一月分享就醫經驗的吳先生於今日回診,接受以【膝關節健康促進方案】治療退化性膝關節炎的術後一年追蹤檢查,結果是令人滿意的!
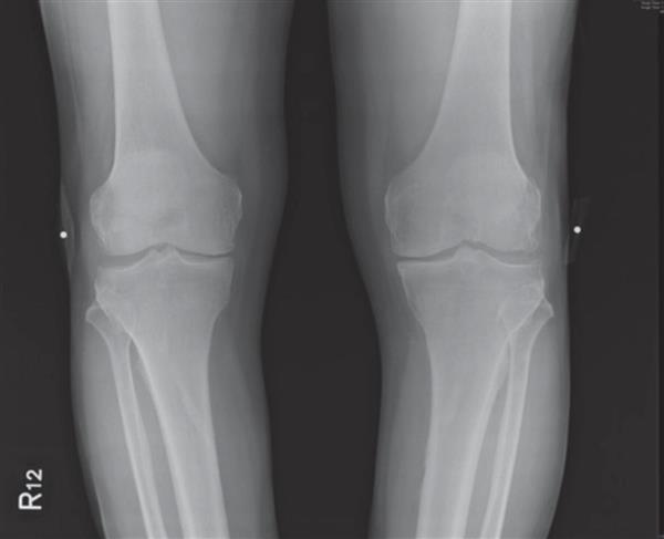
去年,接受治療前的X光片,兩膝內側關節間隙幾乎消失,右膝第三期,左膝已是第四期。

▲手術前

▲手術後一年
ACRFP術後滿一年的X光片,關節間隙變寬,有明顯改善。我們對這結果都非常滿意。一年來,吳先生未曾服藥,如果能繼續做適當的保健,原本需要置換人工關節的膝關節,應可逐年改善。又是一個「軟骨能自然修復」的見證!

本文節錄自自己的膝蓋自己救一書,時報出版提供。
今日人氣:1 累計人次:86 回應:0
你可能感興趣的文章